Your First Visit
At Davis & Goldberg Orthodontics in High Point and Greensboro, we believe that your first orthodontic visit is your most important one. Here’s everything that happens during a free consultation.
Start Your Smile
The first visit to a doctor’s office can sometimes seem intimidating, especially for kids. However, your first visit to Davis & Goldberg Orthodontics will be completely stress-free. This appointment allows us to get to know each other and learn about your smile goals. We’ll also address any concerns you have and answer any questions.
Before your first appointment, please fill out our online health history form. This will help us start your appointment on time.
During Your Appointment
When you arrive, you’ll be welcomed by our team, shown around our office, and introduced to your orthodontist. Each member of our team is friendly and accessible. We will do everything we can to make sure you feel more comfortable and well-informed. We try to avoid any surprises and let you know everything we’ll do before doing it.
Our highly-trained, orthodontic treatment coordinator will then take some digital photographs of your teeth. If necessary, a panoramic and cephalometric X-ray. This is different from the cavity detection X-rays taken by your general dentist. These images are the best way for us to see your teeth, jaws, and facial soft tissue.
Creating Your Treatment Plan
Your orthodontist will review all records before joining you in a private consultation room to discuss your individualized and unique treatment plan.
Your orthodontist will point out specific areas of concern and show you what kind of corrections you can expect by showing photos and videos of similar cases. They will take as much time as needed to answer your questions and decide what kind of treatment is best for you. They’ll even communicate with your general dentist about any recommendations or concerns they may have. Our team will explain everything from scheduling, expected discomfort levels, finances, and payment options.
Orthodontic treatment is an excellent investment in children’s and adults’ overall dental, medical, and psychological well-being, and financial considerations should not be an obstacle to obtaining this important health service. We’re sensitive to different people’s different needs in fulfilling their financial obligations. We’ll do everything we can to help you with flexible payment options.
Our goal is to make sure that no question goes unanswered!
Same-Day Treatment
Any orthodontic treatment plan you choose will involve a series of orthodontic visits. We value the relationship we’ll build with you and your family during the process. We consider you to be a part of our family and we want you to be confident that you’re receiving the best orthodontic care possible.
Once you feel that all of your questions are answered, and your concerns have been addressed, you can start your treatment that same day. We value your time, and we know you want to make the most out of this and every visit.
Additional Appointment Info
We’ve worked hard to design our scheduling system, and we’ve designed every part of your orthodontic experience to be as easy on you as possible: scheduling appointments, starting on time, and completing the necessary treatment efficiently.
Our goal is to take as little time out of your busy schedule as possible. We know you have many obligations every day, and your time is valuable. To help, we also offer a van service that picks up students at local area schools for their appointments (morning appointments only).
You’ll come into our office every six to eight weeks for an adjustment. The length of these appointments will depend on what stage of your treatment you’re in. We do our very best to be on time for our patients, getting you in and out as quickly as possible.
Cancellation & No-Show Appointments
During your treatment, it’s important to try your best not to miss a scheduled appointment. To achieve the best results, we need to monitor your treatment regularly. However, we understand that some circumstances can’t be avoided, and you’ll occasionally need to reschedule.
If you can’t make it to your next appointment, please let us know as soon as possible. We’ll make every effort to reschedule your appointment when it’s convenient for you. If you need to reschedule your appointment for any reason, please take the next available appointment to prevent treatment delays.
If you’re late for your appointment, we’ll do our best to work you in, but you may have to reschedule your appointment.
Ortho Van Service
We know how busy you are as a parent. As a way to alleviate that, we’ve created a service that will pick your child up from school, take them to their appointment, and return them to school so you don’t have to miss work or take time out of the day to provide your child the care they need.
We strive to make orthodontic treatment as easy and convenient as possible at no additional fee. One way we do this is by offering fully licensed, certified, and insured patient transportation via our van service to and from our office to the local schools listed below:
- Allen Jay Prep Academy
- Andrews High
- Wheatmore Middle School
- Brown Middle
- East Davidson
- Ferndale Middle
- Penn Griffith Middle/High
- Hayworth Christian
- High Point Central
- High Point Christian
- High Point Friends
- Immaculate Heart of Mary
- Jamestown Middle
- Ledford Middle
- Ledford High
- North Carolina Leadership Academy
- Oak Grove Middle
- Phoenix Academy
- Ragsdale High School
- Southwest Middle
- Southwest High
- Trinity High
- Welborn Middle
- Wesleyan
- Westchester Country Day
- Wheatmore High
Financial Info
Our goal is to fill High Point and Greensboro with beautiful smiles, and we make every effort to make sure your treatment fits your family’s budget.
You’ll Know Your Costs Ahead of Time
It’s a great time to consider orthodontic treatment, and we’re always here to discuss financial arrangements with you. Everybody wants to know: “How much will this cost?” The cost of your orthodontic treatment will vary depending on your specific needs and treatment plan.
Our team will explain the cost of your treatment and your payment plan options so you can make the best choice for your unique life and smile. It’s important to us that your payment does not become a barrier to reaching the smile of your dreams, so we’ll work with you to come up with a payment plan that works for you. We offer discounts for those who pay in full for treatment and a family discount for those with additional family members starting treatment.
Payment Plan Financing By OrthoFi
At Davis & Goldberg Orthodontics, we’ve partnered with OrthoFi to make sure you get the best financing possible for your treatment.
- Create Your Own Plan — Customize the payment terms on your OrthoFi financing plan. We offer plans with as low as $250 down
- Clear & Simple — OrthoFi’s easy payment choices aren’t complicated. Terms are easy to understand and direct.
- Rest Easy — Have peace of mind knowing that your OrthoFi payment plan fits your family’s budget.
To learn more and apply, visit their website here.
Insurance
So how does insurance work? Insurance carriers and their subscribers have a specific agreement that determines the benefits included in that contract. Orthodontic insurance generally differs from regular dental insurance because each insured individual usually has a maximum lifetime benefit for orthodontic services. This benefit is a percentage of the orthodontic fee, including diagnostic records, initial fees, monthly payments, etc., until the maximum amount is reached. Charges for lost or broken appliances may not be covered by insurance.
We’re happy to help you complete the necessary insurance forms to accept most insurance plans, and we’ll verify your orthodontic insurance benefit before starting your new smile journey. This will be a part of your financial presentation, so you can see how it affects your overall investment. We’ll also file your benefit on your behalf and help maximize your benefit. If you are unsure if your insurance provider is accepted, please call us, and we’ll do everything we can to help.
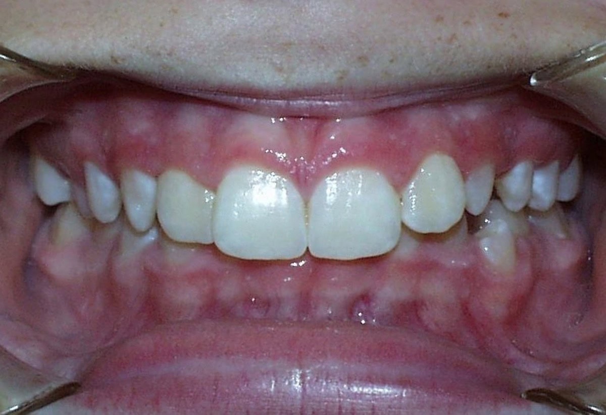
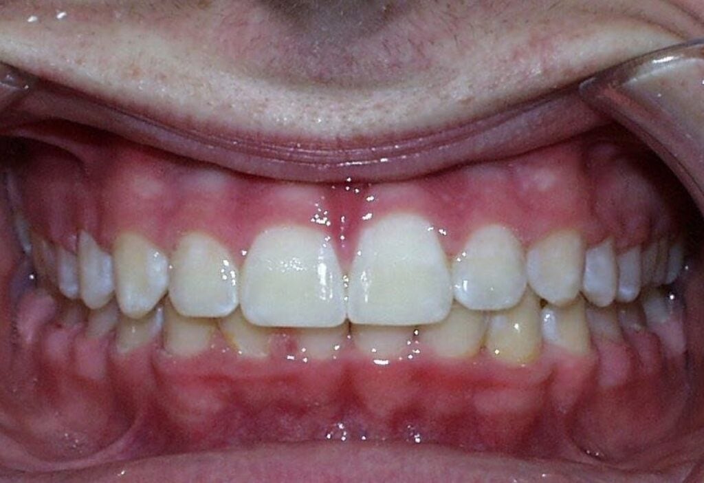
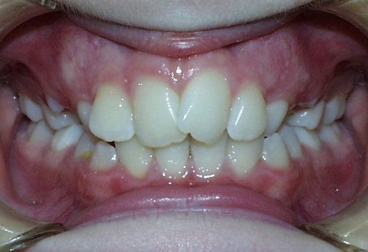
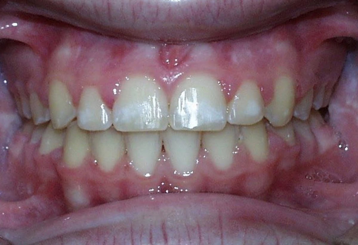
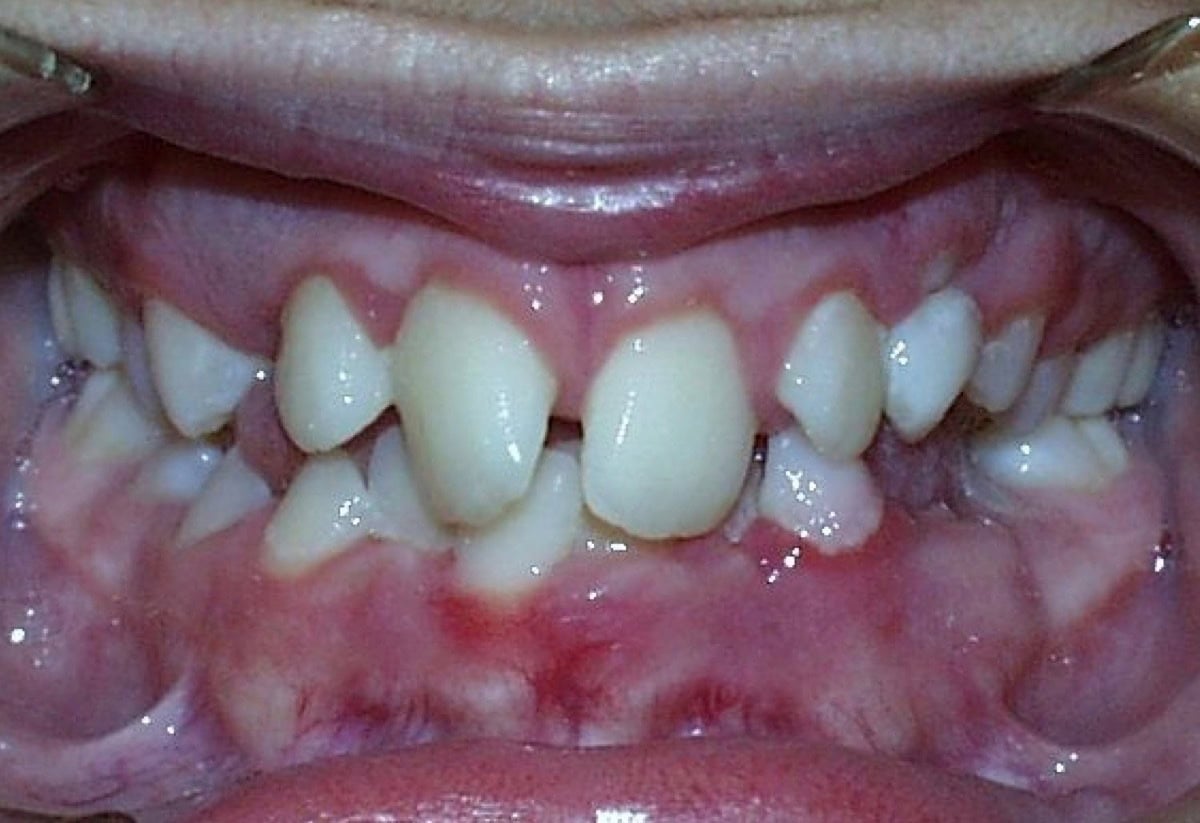
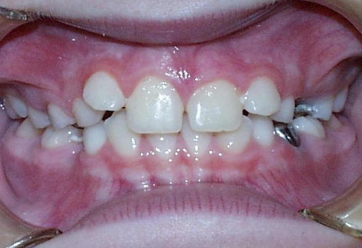
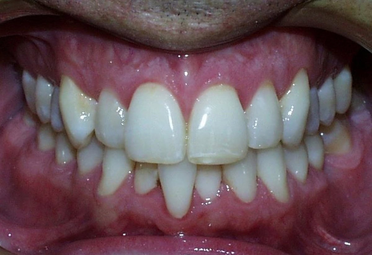
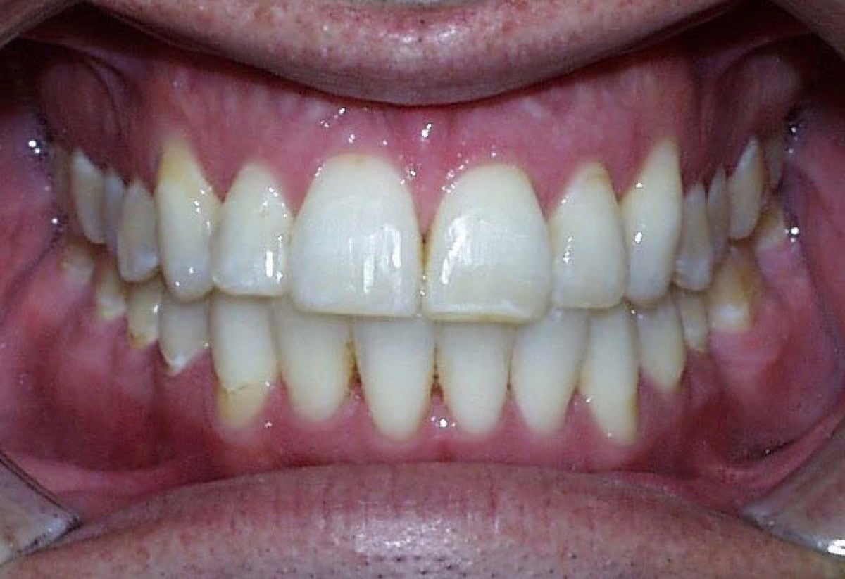
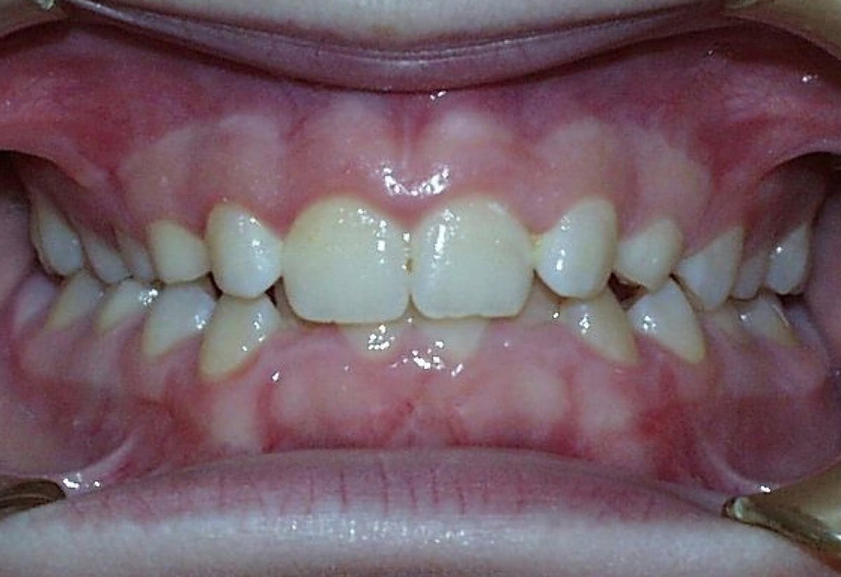
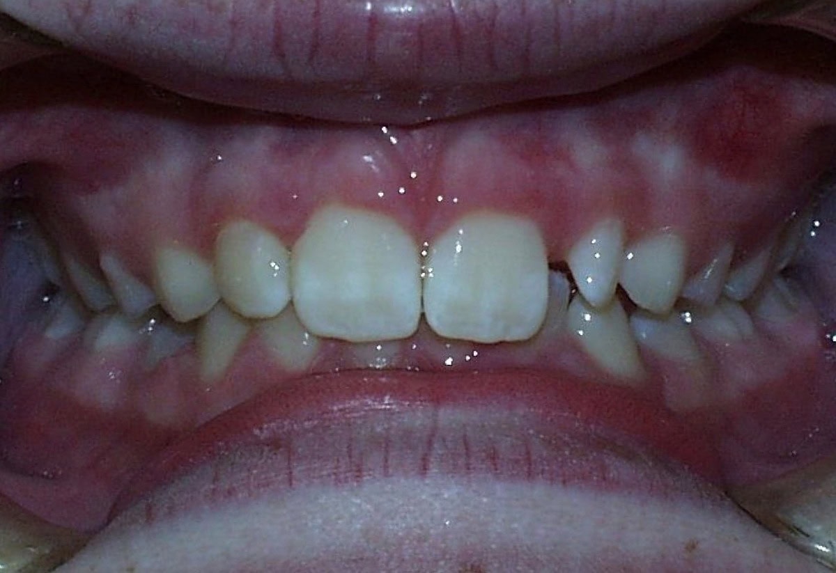
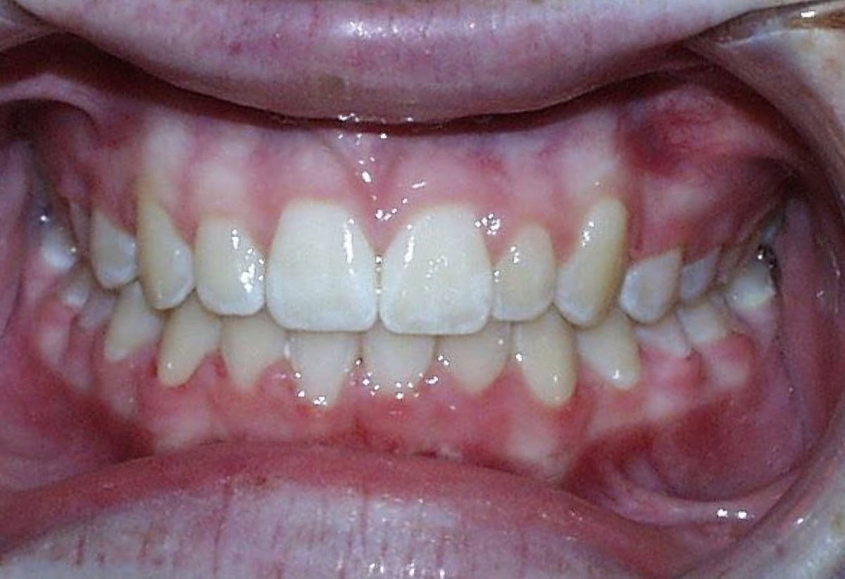
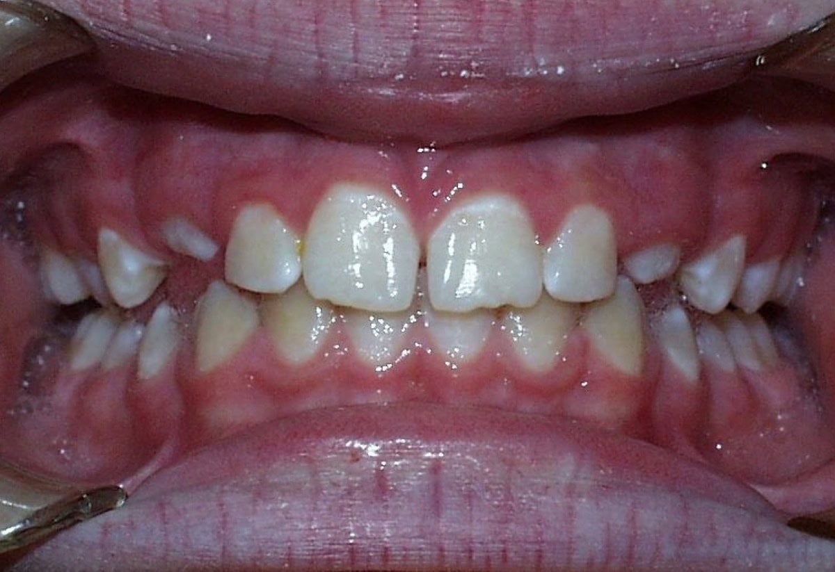
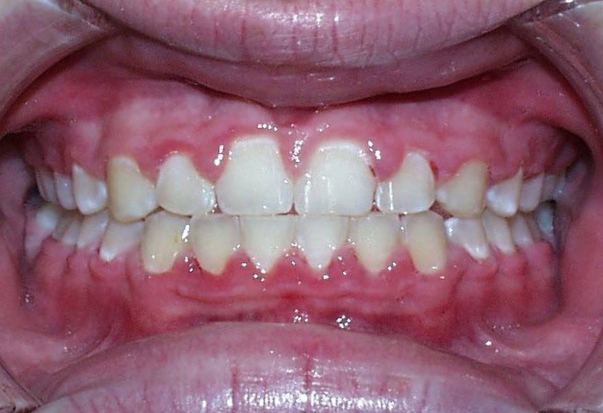
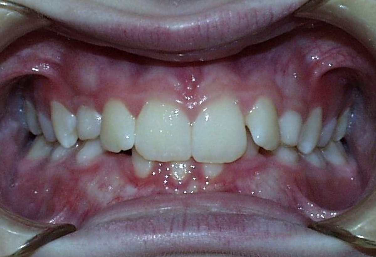
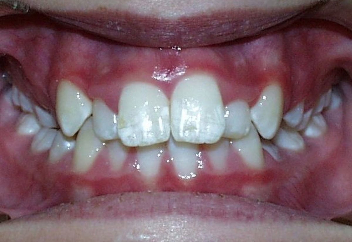
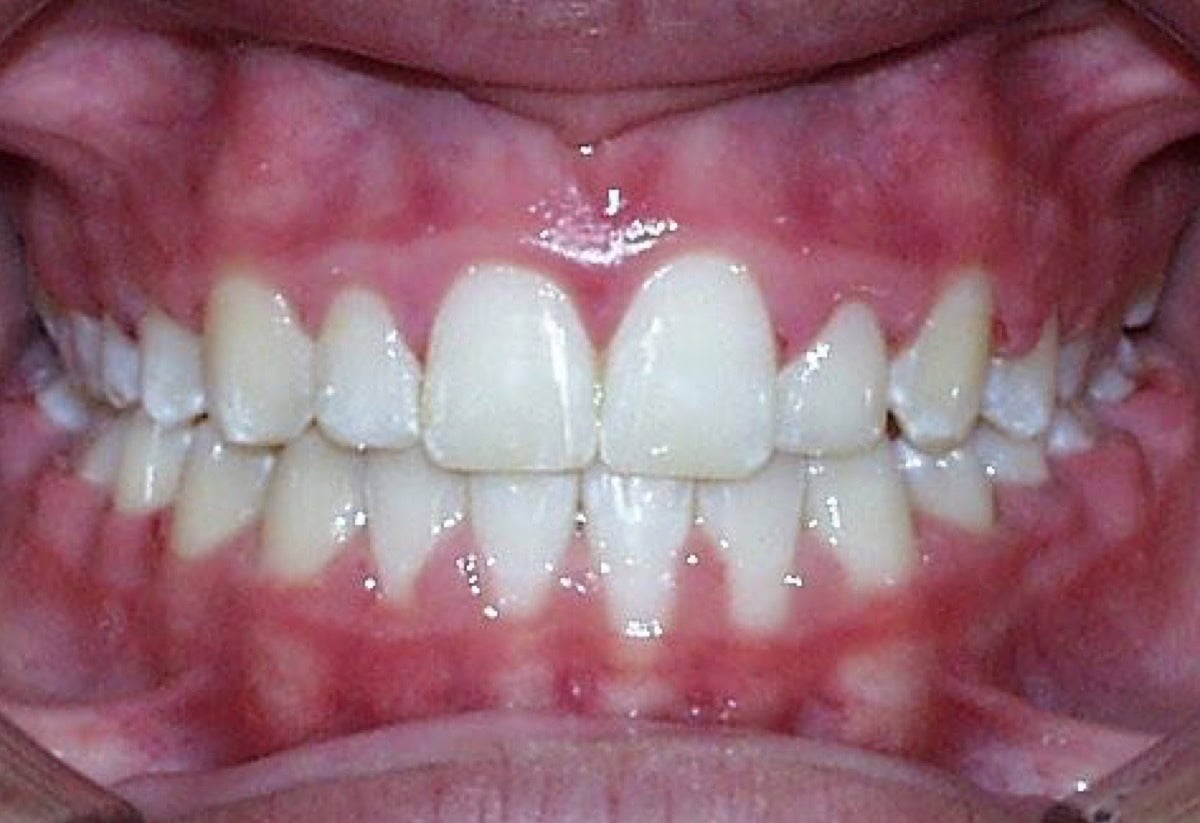
Before & Afters
Our Smiles Speak for Themselves
At Davis & Goldberg Orthodontics, we treat children, teens, and adults. Every smile tells a story, and here are a few orthodontic before and after photos of our smiling patients.










































